優歯科クリニック
知覚過敏の症状
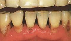
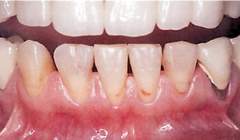
虫歯ではないのに冷たい物がしみたり、歯ブラシをあてるとピリッと痛みが出る場合。


このように歯が削れているのが「くさび状欠損」といい知覚過敏の特徴の1つです。

主な原因
1. 歯周病や歯肉炎
2. 歯ぎしりやかみ合わせ
3. ブラッシング(歯磨き)の仕方

知覚過敏予防法は?
 ☆正しい歯磨き!!!
  力を入れて磨いてませんか?→力を入れず正しい磨き方
  歯磨き粉使いすぎてませんか?→適量な歯磨剤を確認
  歯磨剤の種類は?→知覚過敏用の歯磨剤を使い刺激を予防


 ☆歯肉退縮への対応!!!
  シィーシィーってやらない
  なるべく極端に、暑い物や、冷たい物を飲まない
  (うがいなどもぬるま湯でするのをお勧めします)

 ☆噛み合わせの改善!!!
  歯ぎしり・くいしばりをしてませんか?
    →噛み合わせが強い所の調整
     (場合によりマウスピースの作成)

主な治療法
(1) 正しい歯磨きの仕方を行う
(2) 知覚過敏用の歯磨き粉を使用する

(3) しみ止めの薬を塗布
 
(4) 歯科材料(レジン)で痛みのある部分をカバーする


ただし!!
薬を塗布したり、つめたりすれば良いわけではなく知覚過敏になってしまった原因を追究し、その原因に対する対策を採ることが必要なのです。
歯科衛生士 牛田